使用牛用活体采卵仪时,母牛卵泡发育到多大最合适?
在现代牛只繁育体系中,活体采卵(OPU)已成为挖掘优质母牛遗传潜力的核心手段。而在实际生产操作中,“母牛卵泡发育到多大可以进行采卵”是决定胚胎生产效率的关键环节。科学把握卵泡发育阶段,并配合高标准的牛用活体采卵仪,能够显著提升卵母细胞的回收率与质量。

一、 卵泡发育阶段与采卵价值的判定
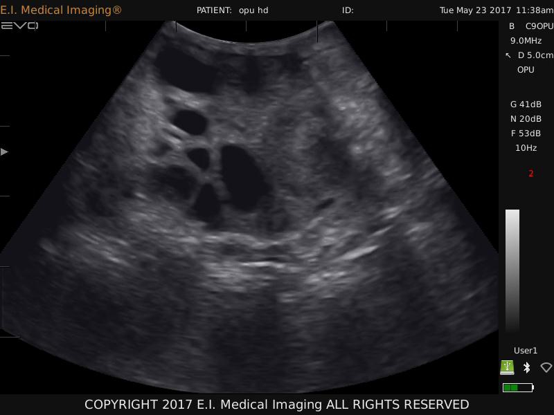
在母牛的生理周期中,卵巢卵泡会经历从募集、选择到优势化发育的过程。临床研究与实践表明,并非所有可见卵泡都具备采集价值。
在使用牛用活体采卵仪进行实时监测时,技术人员应重点关注直径在 2mm以上 的卵泡。实验证明,3mm至8mm 是**的采卵范围。处于这一区间的卵泡,其内部的卵母细胞发育状态相对稳定,体外成熟培养(IVM)的成功率更高,具有更强的后续发育潜力。
二、 为什么采卵时机需精准控制在2-8mm?
精准判断卵泡大小,不仅是为了数量,更是为了确保卵母细胞的“生命力”:
过小卵泡(<2mm):此时卵母细胞尚未获得完全的发育能力,采集后在体外环境中往往难以正常成熟,利用率较低。
过大卵泡(>10mm):当卵泡发育至接近排卵的优势阶段,内部的卵母细胞可能已经启动了成熟或老化的生物学程序,在体外受精过程中反而容易出现质量下降的情况。
因此,借助牛用活体采卵仪的超声引导功能,对卵泡群进行精准筛选,是避开低质卵泡、捕捉优质细胞的关键。

三、 牛用活体采卵仪在操作中的核心作用
牛用活体采卵仪不仅是采集工具,更是视觉引导的核心。其在实际应用中的优势主要体现在:
精准定位:配合兽用B超设备,设备能够清晰呈现卵巢上的卵泡分布,帮助操作者精准锁定3mm-8mm的目标卵泡。
穿刺稳定性:优质的牛用活体采卵仪设计符合人体工程学,能够确保穿刺针在负压状态下平稳进入卵泡,减少对卵巢组织的机械性损伤。
回收率保障:合理的负压控制系统能有效防止卵母细胞在吸取过程中的挤压损伤,保证采集到的细胞形态完整。
四、 提升采卵效率的生产实践建议

为了在单次操作中获得更多高质量卵母细胞,建议采取以下配合措施:
激素协调方案:在操作前通过促卵泡发育方案,诱导卵巢产生更多同步发育的中等大小卵泡(3mm-8mm),从而在牛用活体采卵仪的辅助下实现批量高效采集。
技术规范化培训:采卵效果受操作手法影响显著。规范的穿刺角度、稳定的负压设置以及对牛用活体采卵仪的熟练运用,都需要技术人员通过反复实践来完善。
科学判断卵泡大小是提升OPU-IVF技术效益的前提。通过牛用活体采卵仪实现对3mm-8mm卵泡的精准采集,是目前畜牧繁育领域公认的高效方案。选择性能稳定的采集设备并结合规范的操作流程,将为育种场带来更稳健的胚胎生产数据。需要其他牛用B超机可以关注郑州博祥来兽用B超厂家





