牛用B超机不同探头对成像的影响
在牛用B超机的实际应用中,探头是影响成像质量与诊断效果的核心部件之一。不同类型的探头因其结构、频率和声束发射方式的差异,会直接影响超声图像的分辨率、穿透深度和视场宽度,从而对牛用B超机在妊娠检测、卵泡观察及繁殖系统评估中的表现产生明显影响。

线阵直肠探头:高分辨率、适合浅部细节观察
在线阵直肠探头中,因探头的晶片沿直线排列并发射频率较高的超声波,其成像画面呈正方或矩形。直阵探头的设计使其在近场结构(即探头附近的组织细节)显示上更清晰,适用于需要高分辨率观察的浅层结构。

线阵直肠探头测牛34天超声图
在牛用B超妊娠检测与卵泡监测中使用线阵直肠探头有以下特点:
由于图像区域集中、分辨率较高,对于小结构如卵泡、黄体等细微变化较易识别,这对于初期妊娠和卵泡发育评估尤为重要。
直阵探头的成像深度相对受限,但由于探头是从直肠内部靠近目标器官扫描,它在探测近距离组织结构时可以提高细节清晰度。
因此,在线阵直肠探头的场景中,重点在于结构细节与分辨率:对于早期妊娠、卵泡大小测量或微小病理改变的判读,它通常能提供更高质量的图像细节。
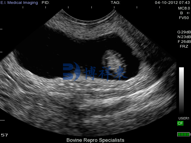
凸阵直肠探头:更大视野、更深穿透
凸阵直肠探头的晶片呈弧形排列,发射的声束呈扇形扩散,使得图像覆盖区域更宽、更深。相对高频线阵,凸阵探头多采用中低频设计,这增强了超声波在组织中的穿透能力,适合观察更大、更深结构区域。

凸阵直肠探头测牛35天超声图
在牛用B超机的妊娠检测或生殖系统检查中,凸阵直肠探头的优势体现在:
视场更大,能够在单次扫描中覆盖更大区域,适合对整个子宫或更深部位的结构进行概览式观察。
较低频率使得声波有更好的深度穿透能力,因此在较深妊娠阶段(如妊娠中后期检查)或需要观察更深层组织时表现更稳定。
对于繁殖疾病等更复杂检查的需求,凸阵探头常被推荐用于扫描更广范围或对深部结构进行成像,以便全面评估结构状态。
探头选择与应用场景的对应性
在实际操作中,线阵与凸阵直肠探头各自的优点决定了它们更适合不同的诊断目的和阶段。例如,在线阵直肠探头更适合用于早期妊娠检测和卵泡细节观察,这对于牛用B超机在繁殖管理中判断受精情况、黄体状态具有一定优势。
而在妊娠中期或对于整体子宫形态、胎儿发育情况的全面性观察时,由于凸阵直肠探头的视野更大、穿透更深,它可以在一次扫描中捕获更多有价值的信息,提高扫描效率和信心。
技术人员经验的重要性
需要特别强调的是,无论采用哪种探头,成像的最终质量不仅受探头类型影响,还与操作者技术密切相关。恰当的声学耦合、增益调节、探头角度与扫描策略都会影响最终图像的清晰程度和诊断价值。探头的合理组合(如在不同阶段或不同目标结构下切换线阵与凸阵探头)也能进一步提高成像效果。
因此,兽医在应用牛用B超机时,往往根据检查目的和对象动态选择合适的探头类型,以获得**的成像结果和诊断价值。
线阵直肠探头和凸阵直肠探头作为牛用B超机的两类关键探头,在成像特点和适用场景上各有侧重。线阵探头以高分辨率、细节丰富的浅层成像优势适合初期妊娠及微小结构观察,而凸阵探头凭借更大视野和更深穿透的能力在较深结构检视中更具优势。
了解探头的成像差异及其应用场景,有助于在繁殖管理和产科评估中更准确地利用兽用B超仪,从而提升检测效率和判断准确性。





